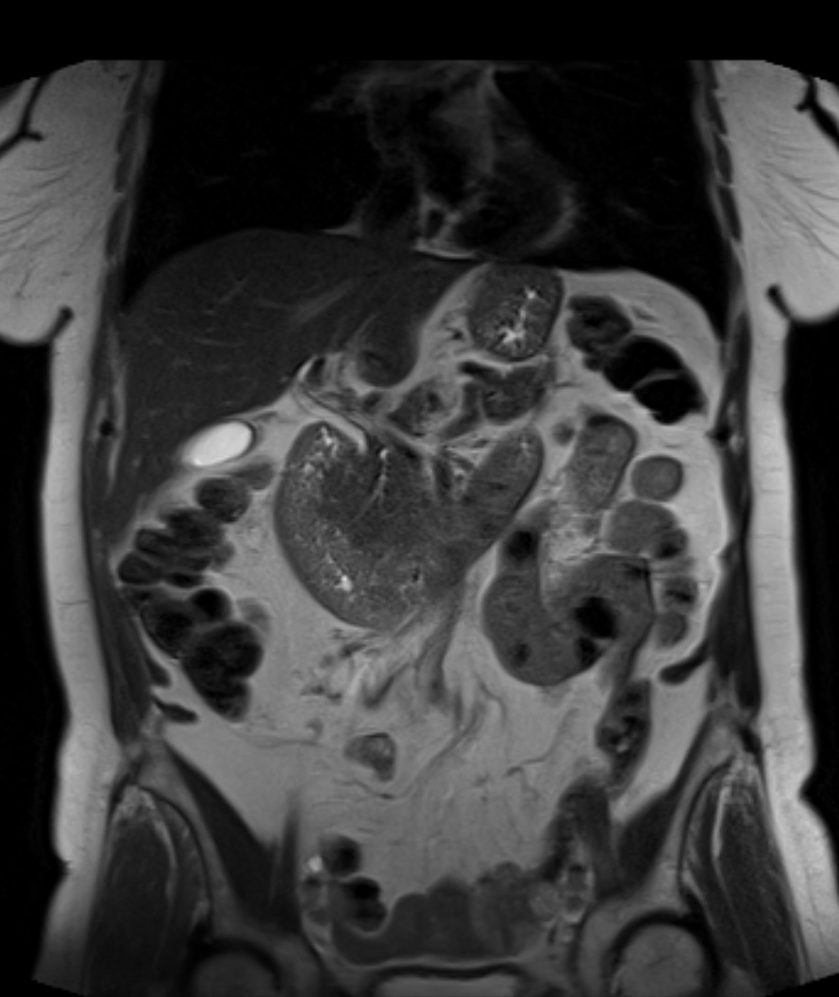
Magnetkameraundersökning av lever, njurar, gallvägar och andra organ i buken
Smärta eller obehag i magen kan bero på många olika orsaker, från godartade cystor och vätskeansamlingar till inflammationer eller tumörförändringar. Eftersom bukhålan innehåller flera av kroppens viktigaste organ används MR buk för att undersöka bland annat lever, njurar, mjälte och bukspottkörtel. MR är en modern och helt strålningsfri metod som ger mycket detaljerade bilder av bukens inre strukturer.
Undersökningen används både vid nytillkomna symtom och vid långvariga besvär där andra metoder, som ultraljud eller datortomografi (CT), inte har gett tillräcklig information. MR buk lämpar sig särskilt väl för att kartlägga organens struktur, upptäcka förändringar och följa sjukdomsförlopp över tid.
När rekommenderas en MR för buken?
MR av buken används för att på ett skonsamt och noggrant sätt utreda sjukdomar som påverkar något av bukens organ. Det kan vara en viktig del av både medicinska och kirurgiska utredningar. Undersökningen kan vara aktuell vid symtom som:
- Långvarig eller återkommande buksmärta
- Tryckkänsla, obehag eller svullnad i magen
- Ofrivillig viktnedgång eller nedsatt aptit
- Trötthet i kombination med avvikande blodprover
- Förhöjda levervärden eller andra avvikande blodprover
- Misstanke om cystor, tumörer eller metastaser
- Upptäckta förändringar vid tidigare undersökningar
- Oklara buksmärtor eller långvariga besvär
- Uppföljning av kända förändringar eller sjukdomstillstånd
- Inför planerad behandling eller kirurgi
MR Buk används ofta vid misstanke om:
- Levertumör, cystor eller fettlever
- Förändringar i bukspottkörteln
- Njursjukdomar eller komplexa cystor
- Förstorad mjälte eller andra organförändringar
- Blodkärlsrelaterade förändringar i buken
- Infektioner, inflammationer eller abscesser
- Spridning av cancer till lymfkörtlar eller andra organ
Boka MR Buk – trygg och bred kartläggning utan strålning
En MR-undersökning av buken tar vanligtvis 30–40 minuter och genomförs i liggande position. Undersökningen är helt smärtfri och fri från röntgenstrålning. Efter beställning kontaktar en av våra läkare dig för att säkerställa att detta är rätt undersökning för din frågeställning. Bilderna granskas av specialistläkare och du får ett medicinskt utlåtande inom några dagar efter genomförd undersökning.
Dialog med läkare ingår alltid inför MR Buk
Vid bokning av MR Buk ingår alltid konsultation med en av våra läkare. Syftet är att formulera en tydlig frågeställning, gå igenom din anamnes och bedöma dina symtom samtidigt som läkaren säkerställer att MR buk är rätt undersökning alternativt rekommendera en mer riktad metod vid behov.
Den medicinska genomgången är en viktig del av processen och bidrar till att undersökningen blir så träffsäker och relevant som möjligt.
När lämpar sig MR Buk inte?
Vi vill förtydliga att MR Buk inte är den bästa metoden för att undersöka vissa delar av mag-tarmkanalen. Detta beror bland annat på att tarmen ofta innehåller luft och är i rörelse, vilket kan påverka bildkvaliteten. Vid symtom som förändrade avföringsvanor, långvarig diarré, förstoppning, uppblåsthet eller blod i avföringen rekommenderas därför i första hand annan utredning, exempelvis endoskopisk undersökning.
Vid mer specifika frågeställningar som rör gallvägar eller bukspottkörtelns gångsystem är en mer riktad undersökning som MRCP mer lämplig än en generell MR buk. Detta gäller särskilt vid misstanke om gallstenssjukdom, avflödeshinder eller påverkan på gall- och pankreasgångar. Inför undersökningen görs alltid en medicinsk bedömning för att säkerställa att rätt metod väljs från början.
Det kan dock vara svårt att själv avgöra vilken undersökning som är mest lämplig. Du är därför alltid välkommen att kontakta oss för rådgivning, och inför bokning görs alltid en medicinsk bedömning tillsammans med en av våra läkare för att säkerställa att rätt undersökning väljs från början.


