Skip to content
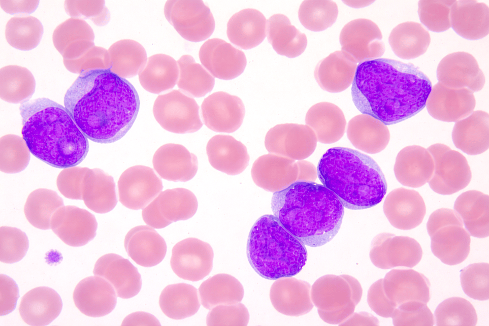
LYM

White blood cells

Lymphocytes

Lymphocytes are an important type of white blood cell in the immune system that includes B lymphocytes that produce antibodies and T lymphocytes that directly attack infected cells and cancer cells, and also contribute to the memory of previous encounters with foreign substances.

CBC Test

CBC Test

Complete blood count and B cells test

149 kr

10% discount on testmottagningen.se with the code: PÅSK2026 Health checks for increased well-being


What are lymphocytes?

Lymphocytes are a type of white blood cells that play an important role in the immune system. There are several types of lymphocytes, including B lymphocytes and T lymphocytes.

B-lymphocytes produce antibodies that help identify and destroy foreign substances in the body, while T-lymphocytes directly attack infected cells and cancer cells.

Lymphocytes are also involved in remembering previous encounters with foreign substances, so that the body can react quickly if it encounters them again.

Different types of T lymphocytes:
  • Killer cells, CD8-positive T cells/cytotoxic T cells, are a type of T-lymphocyte specialized to identify and kill infected cells and tumor cells.
  • Memory T cells are another type of T lymphocytes that are specialized in recognizing foreign substances that the body has been exposed to in the past. These cells remember previous encounters with foreign substances, so that the body can react quickly if it encounters them again.
  • T-helper cells (CD4-positive T cells) are another type of T-lymphocytes that help activate other immune cells and form substances that help the immune system. They help regulate and coordinate the immune system by signaling to other cells what to do.

Why analyze lymphocytes?

Lymphocytes are often analyzed in medical contexts to calculate the levels of different types of lymphocytes in the blood. This can provide information about the general state of the immune system and any problems or diseases that may have been related to the lymphocytes.

A detailed analysis of lymphocytes can also provide information about the proportion of different types of lymphocytes, such as T lymphocytes and B lymphocytes, and their subsets, such as CD4- and CD8-positive T cells. This can provide important information about how the immune system is working and whether there are any specific problems with T or B lymphocytes.

The analysis of lymphocytes can also be used to monitor the treatment of diseases that affect lymphocytes, such as cancer or autoimmune diseases.

What can low value of lymphocytes mean?

A low level of lymphocytes, called lymphopenia, may indicate an infection, an autoimmune disease, or a disease that affects the bone marrow.

What can a high value of lymphocytes mean?

A high level of lymphocytes, called lymphocytosis, can indicate an infection, an inflammation or a cancer.

Differential count of B cells

Differential count is a medical examination that aims to determine the proportion of different types of white blood cells (leukocytes) in a blood sample. The differential count is an important part of a complete blood count and can provide important information about the general state of the immune system and any problems or diseases that may be related to white blood cells.

Differential counting can be done both by mechanical classification (most common) and by examining the blood under the microscope where different types of white blood cells are counted; neutrophils, lymphocytes, monocytes, basophils and eosinophils. Each type of white blood cell has its own function and a change in the level of these cells can provide information about what is happening in the body.

Tests containing the marker Lymphocytes


  • Analysis of B-Lymphocytes.
  • Helps identify deficiencies in the immune system.
  • For suspected infections, autoimmune diseases, and blood disorders.

59 kr


Biological age

Biological age

How old are you?
Information

Biological age

This health check includes an analysis of your biological age. Biological age is a measure of how your body ages at the cellular level compared to your chronological age. Comparing your blood counts with advanced algorithms will give you a deeper insight into your overall health status and how your lifestyle affects your biological aging. Based on the PhenoAge method. https://pmc.ncbi.nlm.nih.gov/articles/PMC5940111/
  • Calculation of biological age based on the PhenoAge model.
  • Analysis of nine biomarkers that reflect health and aging.
  • Scientifically validated method with high accuracy.
  • Possibility to follow biological age and the effect of lifestyle changes.

895 kr

CBC Test

CBC Test

Complete blood count and B cells test
  • Health check that measures your blood status.
  • Analysis of blood cells that affect your general health.
  • Gives you the conditions to optimize your health.
  • Indication of possible diseases.

149 kr

Health check Large

Health check Large

General health check
Information

Biological age

This health check includes an analysis of your biological age. Biological age is a measure of how your body ages at the cellular level compared to your chronological age. Comparing your blood counts with advanced algorithms will give you a deeper insight into your overall health status and how your lifestyle affects your biological aging. Based on the PhenoAge method. https://pmc.ncbi.nlm.nih.gov/articles/PMC5940111/

Medical comment included

With us, you will always receive a doctor’s opinion from a licensed physician when you order a medical check-up that includes a medical opinion. The doctor’s opinion includes an overall assessment of your results from laboratory analysis. The opinion is individual and may vary depending on the specific tests your medical check-up includes.

What can I expect in the medical report?

The medical opinion will summarize the results of your test results to give you an assessment of your health including any abnormalities outside the reference ranges. In case of abnormalities or need, your doctor may also contact you for a free conversation to explain and talk about your results. Remember that a health check always includes specific test results based on your health and your personal circumstances. Values outside the reference range should therefore always be discussed with a doctor before any decisions regarding possible treatment are made.

What does the doctor look at during a health check?

When assessing a blood test or health check, your doctor will look at several different parameters to evaluate your health and identify any abnormalities. Below are some common aspects your doctor may examine:

Blood counts: Your doctor will check red, white and platelet counts to identify any signs of anaemia, infection or bleeding.

Nutrients and biochemical markers: Includes, for example, analysis and monitoring of blood sugar (glucose) levels, electrolyte levels (e.g. sodium, potassium), liver function tests (e.g. liver enzymes), kidney function tests (e.g. creatinine, urea) and lipid profile (e.g. cholesterol, triglycerides). The results of the tests give your doctor a better idea of your organ function, blood sugar level, cholesterol conditions and other important health aspects.

Inflammatory markers: Your doctor may measure health markers such as C-reactive protein (CRP) or red blood cell decrease rate (SR) to evaluate inflammatory conditions or confirm an active infection.

Hormone levels: Your doctor may monitor your hormone levels to assess hormonal imbalances or diseases, such as thyroid hormones (TSH, T3, T4), sex hormones or other specific hormones such as testosterone levels.

Specific tests: Depending on your goal of your health check or medical history, your doctor may look into specific tests to investigate conditions or diseases, such as diabetes, vitamin deficiency or autoimmune diseases.

In conclusion, the doctor weighs all test results based on the health check to assess your overall health, detect any abnormalities and identify possible underlying medical conditions.

What happens if I have abnormal test results?

If your blood count is abnormal, this will be addressed in your personal medical opinion. Depending on the nature and extent of the abnormality, your doctor may also contact you directly through the test result service for further guidance. Various measures and advice will be provided based on the specific abnormalities observed along with your medical history.

  • Great health check for men and women.
  • Analysis of 54 health markers.
  • Helps you identify abnormal blood values.
  • Biological age included.

1 895 kr

Health check man plus

Health check man plus

Comprehensive health check
Information

Biological age

This health check includes an analysis of your biological age. Biological age is a measure of how your body ages at the cellular level compared to your chronological age. Comparing your blood counts with advanced algorithms will give you a deeper insight into your overall health status and how your lifestyle affects your biological aging. Based on the PhenoAge method. https://pmc.ncbi.nlm.nih.gov/articles/PMC5940111/

Medical comment included

With us, you will always receive a doctor’s opinion from a licensed physician when you order a medical check-up that includes a medical opinion. The doctor’s opinion includes an overall assessment of your results from laboratory analysis. The opinion is individual and may vary depending on the specific tests your medical check-up includes.

What can I expect in the medical report?

The medical opinion will summarize the results of your test results to give you an assessment of your health including any abnormalities outside the reference ranges. In case of abnormalities or need, your doctor may also contact you for a free conversation to explain and talk about your results. Remember that a health check always includes specific test results based on your health and your personal circumstances. Values outside the reference range should therefore always be discussed with a doctor before any decisions regarding possible treatment are made.

What does the doctor look at during a health check?

When assessing a blood test or health check, your doctor will look at several different parameters to evaluate your health and identify any abnormalities. Below are some common aspects your doctor may examine:

Blood counts: Your doctor will check red, white and platelet counts to identify any signs of anaemia, infection or bleeding.

Nutrients and biochemical markers: Includes, for example, analysis and monitoring of blood sugar (glucose) levels, electrolyte levels (e.g. sodium, potassium), liver function tests (e.g. liver enzymes), kidney function tests (e.g. creatinine, urea) and lipid profile (e.g. cholesterol, triglycerides). The results of the tests give your doctor a better idea of your organ function, blood sugar level, cholesterol conditions and other important health aspects.

Inflammatory markers: Your doctor may measure health markers such as C-reactive protein (CRP) or red blood cell decrease rate (SR) to evaluate inflammatory conditions or confirm an active infection.

Hormone levels: Your doctor may monitor your hormone levels to assess hormonal imbalances or diseases, such as thyroid hormones (TSH, T3, T4), sex hormones or other specific hormones such as testosterone levels.

Specific tests: Depending on your goal of your health check or medical history, your doctor may look into specific tests to investigate conditions or diseases, such as diabetes, vitamin deficiency or autoimmune diseases.

In conclusion, the doctor weighs all test results based on the health check to assess your overall health, detect any abnormalities and identify possible underlying medical conditions.

What happens if I have abnormal test results?

If your blood count is abnormal, this will be addressed in your personal medical opinion. Depending on the nature and extent of the abnormality, your doctor may also contact you directly through the test result service for further guidance. Various measures and advice will be provided based on the specific abnormalities observed along with your medical history.

  • Comprehensive health check for men.
  • 65 different health tests & Biological Age.
  • Provides insight into your health data.
  • 10 different health areas.

3 295 kr

  • Analysis of 46 health markers.
  • For control of vital health areas.
  • Self-referral without a doctor.

1 495 kr

Man

Man

Health check - Man
Information

Biological age

This health check includes an analysis of your biological age. Biological age is a measure of how your body ages at the cellular level compared to your chronological age. Comparing your blood counts with advanced algorithms will give you a deeper insight into your overall health status and how your lifestyle affects your biological aging. Based on the PhenoAge method. https://pmc.ncbi.nlm.nih.gov/articles/PMC5940111/

Medical comment included

With us, you will always receive a doctor’s opinion from a licensed physician when you order a medical check-up that includes a medical opinion. The doctor’s opinion includes an overall assessment of your results from laboratory analysis. The opinion is individual and may vary depending on the specific tests your medical check-up includes.

What can I expect in the medical report?

The medical opinion will summarize the results of your test results to give you an assessment of your health including any abnormalities outside the reference ranges. In case of abnormalities or need, your doctor may also contact you for a free conversation to explain and talk about your results. Remember that a health check always includes specific test results based on your health and your personal circumstances. Values outside the reference range should therefore always be discussed with a doctor before any decisions regarding possible treatment are made.

What does the doctor look at during a health check?

When assessing a blood test or health check, your doctor will look at several different parameters to evaluate your health and identify any abnormalities. Below are some common aspects your doctor may examine:

Blood counts: Your doctor will check red, white and platelet counts to identify any signs of anaemia, infection or bleeding.

Nutrients and biochemical markers: Includes, for example, analysis and monitoring of blood sugar (glucose) levels, electrolyte levels (e.g. sodium, potassium), liver function tests (e.g. liver enzymes), kidney function tests (e.g. creatinine, urea) and lipid profile (e.g. cholesterol, triglycerides). The results of the tests give your doctor a better idea of your organ function, blood sugar level, cholesterol conditions and other important health aspects.

Inflammatory markers: Your doctor may measure health markers such as C-reactive protein (CRP) or red blood cell decrease rate (SR) to evaluate inflammatory conditions or confirm an active infection.

Hormone levels: Your doctor may monitor your hormone levels to assess hormonal imbalances or diseases, such as thyroid hormones (TSH, T3, T4), sex hormones or other specific hormones such as testosterone levels.

Specific tests: Depending on your goal of your health check or medical history, your doctor may look into specific tests to investigate conditions or diseases, such as diabetes, vitamin deficiency or autoimmune diseases.

In conclusion, the doctor weighs all test results based on the health check to assess your overall health, detect any abnormalities and identify possible underlying medical conditions.

What happens if I have abnormal test results?

If your blood count is abnormal, this will be addressed in your personal medical opinion. Depending on the nature and extent of the abnormality, your doctor may also contact you directly through the test result service for further guidance. Various measures and advice will be provided based on the specific abnormalities observed along with your medical history.

  • Health check designed for you as a man
  • Includes a total of 46 health markers
  • Gives you knowledge about your general state of health
  • Can identify early signs of health problems

1 695 kr

MRI Full body Plus

MRI Full body Plus

MRI + blood tests
Information

Biological age

This health check includes an analysis of your biological age. Biological age is a measure of how your body ages at the cellular level compared to your chronological age. Comparing your blood counts with advanced algorithms will give you a deeper insight into your overall health status and how your lifestyle affects your biological aging. Based on the PhenoAge method. https://pmc.ncbi.nlm.nih.gov/articles/PMC5940111/

Medical comment included

With us, you will always receive a doctor’s opinion from a licensed physician when you order a medical check-up that includes a medical opinion. The doctor’s opinion includes an overall assessment of your results from laboratory analysis. The opinion is individual and may vary depending on the specific tests your medical check-up includes.

What can I expect in the medical report?

The medical opinion will summarize the results of your test results to give you an assessment of your health including any abnormalities outside the reference ranges. In case of abnormalities or need, your doctor may also contact you for a free conversation to explain and talk about your results. Remember that a health check always includes specific test results based on your health and your personal circumstances. Values outside the reference range should therefore always be discussed with a doctor before any decisions regarding possible treatment are made.

What does the doctor look at during a health check?

When assessing a blood test or health check, your doctor will look at several different parameters to evaluate your health and identify any abnormalities. Below are some common aspects your doctor may examine:

Blood counts: Your doctor will check red, white and platelet counts to identify any signs of anaemia, infection or bleeding.

Nutrients and biochemical markers: Includes, for example, analysis and monitoring of blood sugar (glucose) levels, electrolyte levels (e.g. sodium, potassium), liver function tests (e.g. liver enzymes), kidney function tests (e.g. creatinine, urea) and lipid profile (e.g. cholesterol, triglycerides). The results of the tests give your doctor a better idea of your organ function, blood sugar level, cholesterol conditions and other important health aspects.

Inflammatory markers: Your doctor may measure health markers such as C-reactive protein (CRP) or red blood cell decrease rate (SR) to evaluate inflammatory conditions or confirm an active infection.

Hormone levels: Your doctor may monitor your hormone levels to assess hormonal imbalances or diseases, such as thyroid hormones (TSH, T3, T4), sex hormones or other specific hormones such as testosterone levels.

Specific tests: Depending on your goal of your health check or medical history, your doctor may look into specific tests to investigate conditions or diseases, such as diabetes, vitamin deficiency or autoimmune diseases.

In conclusion, the doctor weighs all test results based on the health check to assess your overall health, detect any abnormalities and identify possible underlying medical conditions.

What happens if I have abnormal test results?

If your blood count is abnormal, this will be addressed in your personal medical opinion. Depending on the nature and extent of the abnormality, your doctor may also contact you directly through the test result service for further guidance. Various measures and advice will be provided based on the specific abnormalities observed along with your medical history.

Call included

Call included, one of our doctors will contact you.
  • Radiation-free whole-body MRI examination.
  • 50+ blood tests for an extended medical overview.
  • Early detection of risks and diseases.

21 000 kr

MRI Full Body Pro

MRI Full Body Pro

MRI + blood tests + ECG
Information

Biological age

This health check includes an analysis of your biological age. Biological age is a measure of how your body ages at the cellular level compared to your chronological age. Comparing your blood counts with advanced algorithms will give you a deeper insight into your overall health status and how your lifestyle affects your biological aging. Based on the PhenoAge method. https://pmc.ncbi.nlm.nih.gov/articles/PMC5940111/

Medical comment included

With us, you will always receive a doctor’s opinion from a licensed physician when you order a medical check-up that includes a medical opinion. The doctor’s opinion includes an overall assessment of your results from laboratory analysis. The opinion is individual and may vary depending on the specific tests your medical check-up includes.

What can I expect in the medical report?

The medical opinion will summarize the results of your test results to give you an assessment of your health including any abnormalities outside the reference ranges. In case of abnormalities or need, your doctor may also contact you for a free conversation to explain and talk about your results. Remember that a health check always includes specific test results based on your health and your personal circumstances. Values outside the reference range should therefore always be discussed with a doctor before any decisions regarding possible treatment are made.

What does the doctor look at during a health check?

When assessing a blood test or health check, your doctor will look at several different parameters to evaluate your health and identify any abnormalities. Below are some common aspects your doctor may examine:

Blood counts: Your doctor will check red, white and platelet counts to identify any signs of anaemia, infection or bleeding.

Nutrients and biochemical markers: Includes, for example, analysis and monitoring of blood sugar (glucose) levels, electrolyte levels (e.g. sodium, potassium), liver function tests (e.g. liver enzymes), kidney function tests (e.g. creatinine, urea) and lipid profile (e.g. cholesterol, triglycerides). The results of the tests give your doctor a better idea of your organ function, blood sugar level, cholesterol conditions and other important health aspects.

Inflammatory markers: Your doctor may measure health markers such as C-reactive protein (CRP) or red blood cell decrease rate (SR) to evaluate inflammatory conditions or confirm an active infection.

Hormone levels: Your doctor may monitor your hormone levels to assess hormonal imbalances or diseases, such as thyroid hormones (TSH, T3, T4), sex hormones or other specific hormones such as testosterone levels.

Specific tests: Depending on your goal of your health check or medical history, your doctor may look into specific tests to investigate conditions or diseases, such as diabetes, vitamin deficiency or autoimmune diseases.

In conclusion, the doctor weighs all test results based on the health check to assess your overall health, detect any abnormalities and identify possible underlying medical conditions.

What happens if I have abnormal test results?

If your blood count is abnormal, this will be addressed in your personal medical opinion. Depending on the nature and extent of the abnormality, your doctor may also contact you directly through the test result service for further guidance. Various measures and advice will be provided based on the specific abnormalities observed along with your medical history.

Call included

Call included, one of our doctors will contact you.
  • Full body MRI scan.
  • 70+ blood tests incl. biological age.
  • Long-term ECG 5–7 days with ePatch.

23 900 kr

Woman

Woman

Health check - Female
Information

Biological age

This health check includes an analysis of your biological age. Biological age is a measure of how your body ages at the cellular level compared to your chronological age. Comparing your blood counts with advanced algorithms will give you a deeper insight into your overall health status and how your lifestyle affects your biological aging. Based on the PhenoAge method. https://pmc.ncbi.nlm.nih.gov/articles/PMC5940111/

Medical comment included

With us, you will always receive a doctor’s opinion from a licensed physician when you order a medical check-up that includes a medical opinion. The doctor’s opinion includes an overall assessment of your results from laboratory analysis. The opinion is individual and may vary depending on the specific tests your medical check-up includes.

What can I expect in the medical report?

The medical opinion will summarize the results of your test results to give you an assessment of your health including any abnormalities outside the reference ranges. In case of abnormalities or need, your doctor may also contact you for a free conversation to explain and talk about your results. Remember that a health check always includes specific test results based on your health and your personal circumstances. Values outside the reference range should therefore always be discussed with a doctor before any decisions regarding possible treatment are made.

What does the doctor look at during a health check?

When assessing a blood test or health check, your doctor will look at several different parameters to evaluate your health and identify any abnormalities. Below are some common aspects your doctor may examine:

Blood counts: Your doctor will check red, white and platelet counts to identify any signs of anaemia, infection or bleeding.

Nutrients and biochemical markers: Includes, for example, analysis and monitoring of blood sugar (glucose) levels, electrolyte levels (e.g. sodium, potassium), liver function tests (e.g. liver enzymes), kidney function tests (e.g. creatinine, urea) and lipid profile (e.g. cholesterol, triglycerides). The results of the tests give your doctor a better idea of your organ function, blood sugar level, cholesterol conditions and other important health aspects.

Inflammatory markers: Your doctor may measure health markers such as C-reactive protein (CRP) or red blood cell decrease rate (SR) to evaluate inflammatory conditions or confirm an active infection.

Hormone levels: Your doctor may monitor your hormone levels to assess hormonal imbalances or diseases, such as thyroid hormones (TSH, T3, T4), sex hormones or other specific hormones such as testosterone levels.

Specific tests: Depending on your goal of your health check or medical history, your doctor may look into specific tests to investigate conditions or diseases, such as diabetes, vitamin deficiency or autoimmune diseases.

In conclusion, the doctor weighs all test results based on the health check to assess your overall health, detect any abnormalities and identify possible underlying medical conditions.

What happens if I have abnormal test results?

If your blood count is abnormal, this will be addressed in your personal medical opinion. Depending on the nature and extent of the abnormality, your doctor may also contact you directly through the test result service for further guidance. Various measures and advice will be provided based on the specific abnormalities observed along with your medical history.

  • Health check designed for women.
  • Includes a total of 51 health markers.
  • Gives you information about your overall health.
  • Can identify early signs of health problems.

1 695 kr

Woman Plus

Woman Plus

Max health check
Information

Biological age

This health check includes an analysis of your biological age. Biological age is a measure of how your body ages at the cellular level compared to your chronological age. Comparing your blood counts with advanced algorithms will give you a deeper insight into your overall health status and how your lifestyle affects your biological aging. Based on the PhenoAge method. https://pmc.ncbi.nlm.nih.gov/articles/PMC5940111/

Medical comment included

With us, you will always receive a doctor’s opinion from a licensed physician when you order a medical check-up that includes a medical opinion. The doctor’s opinion includes an overall assessment of your results from laboratory analysis. The opinion is individual and may vary depending on the specific tests your medical check-up includes.

What can I expect in the medical report?

The medical opinion will summarize the results of your test results to give you an assessment of your health including any abnormalities outside the reference ranges. In case of abnormalities or need, your doctor may also contact you for a free conversation to explain and talk about your results. Remember that a health check always includes specific test results based on your health and your personal circumstances. Values outside the reference range should therefore always be discussed with a doctor before any decisions regarding possible treatment are made.

What does the doctor look at during a health check?

When assessing a blood test or health check, your doctor will look at several different parameters to evaluate your health and identify any abnormalities. Below are some common aspects your doctor may examine:

Blood counts: Your doctor will check red, white and platelet counts to identify any signs of anaemia, infection or bleeding.

Nutrients and biochemical markers: Includes, for example, analysis and monitoring of blood sugar (glucose) levels, electrolyte levels (e.g. sodium, potassium), liver function tests (e.g. liver enzymes), kidney function tests (e.g. creatinine, urea) and lipid profile (e.g. cholesterol, triglycerides). The results of the tests give your doctor a better idea of your organ function, blood sugar level, cholesterol conditions and other important health aspects.

Inflammatory markers: Your doctor may measure health markers such as C-reactive protein (CRP) or red blood cell decrease rate (SR) to evaluate inflammatory conditions or confirm an active infection.

Hormone levels: Your doctor may monitor your hormone levels to assess hormonal imbalances or diseases, such as thyroid hormones (TSH, T3, T4), sex hormones or other specific hormones such as testosterone levels.

Specific tests: Depending on your goal of your health check or medical history, your doctor may look into specific tests to investigate conditions or diseases, such as diabetes, vitamin deficiency or autoimmune diseases.

In conclusion, the doctor weighs all test results based on the health check to assess your overall health, detect any abnormalities and identify possible underlying medical conditions.

What happens if I have abnormal test results?

If your blood count is abnormal, this will be addressed in your personal medical opinion. Depending on the nature and extent of the abnormality, your doctor may also contact you directly through the test result service for further guidance. Various measures and advice will be provided based on the specific abnormalities observed along with your medical history.

  • Extended health screening for women.
  • 64 different health tests are included.
  • Several markers of hormonal balance.
  • Calculation of Biological Age included.

3 295 kr


  • White blood count WBC
  • Differential count of leukocytes..
  • Indication for your immune system

125 kr


MRI Full body Plus

MRI Full body Plus

MRI + blood tests
Information

Biological age

This health check includes an analysis of your biological age. Biological age is a measure of how your body ages at the cellular level compared to your chronological age. Comparing your blood counts with advanced algorithms will give you a deeper insight into your overall health status and how your lifestyle affects your biological aging. Based on the PhenoAge method. https://pmc.ncbi.nlm.nih.gov/articles/PMC5940111/

Medical comment included

With us, you will always receive a doctor’s opinion from a licensed physician when you order a medical check-up that includes a medical opinion. The doctor’s opinion includes an overall assessment of your results from laboratory analysis. The opinion is individual and may vary depending on the specific tests your medical check-up includes.

What can I expect in the medical report?

The medical opinion will summarize the results of your test results to give you an assessment of your health including any abnormalities outside the reference ranges. In case of abnormalities or need, your doctor may also contact you for a free conversation to explain and talk about your results. Remember that a health check always includes specific test results based on your health and your personal circumstances. Values outside the reference range should therefore always be discussed with a doctor before any decisions regarding possible treatment are made.

What does the doctor look at during a health check?

When assessing a blood test or health check, your doctor will look at several different parameters to evaluate your health and identify any abnormalities. Below are some common aspects your doctor may examine:

Blood counts: Your doctor will check red, white and platelet counts to identify any signs of anaemia, infection or bleeding.

Nutrients and biochemical markers: Includes, for example, analysis and monitoring of blood sugar (glucose) levels, electrolyte levels (e.g. sodium, potassium), liver function tests (e.g. liver enzymes), kidney function tests (e.g. creatinine, urea) and lipid profile (e.g. cholesterol, triglycerides). The results of the tests give your doctor a better idea of your organ function, blood sugar level, cholesterol conditions and other important health aspects.

Inflammatory markers: Your doctor may measure health markers such as C-reactive protein (CRP) or red blood cell decrease rate (SR) to evaluate inflammatory conditions or confirm an active infection.

Hormone levels: Your doctor may monitor your hormone levels to assess hormonal imbalances or diseases, such as thyroid hormones (TSH, T3, T4), sex hormones or other specific hormones such as testosterone levels.

Specific tests: Depending on your goal of your health check or medical history, your doctor may look into specific tests to investigate conditions or diseases, such as diabetes, vitamin deficiency or autoimmune diseases.

In conclusion, the doctor weighs all test results based on the health check to assess your overall health, detect any abnormalities and identify possible underlying medical conditions.

What happens if I have abnormal test results?

If your blood count is abnormal, this will be addressed in your personal medical opinion. Depending on the nature and extent of the abnormality, your doctor may also contact you directly through the test result service for further guidance. Various measures and advice will be provided based on the specific abnormalities observed along with your medical history.

Call included

Call included, one of our doctors will contact you.
  • Radiation-free whole-body MRI examination.
  • 50+ blood tests for an extended medical overview.
  • Early detection of risks and diseases.

21 000 kr

MRI Full Body Pro

MRI Full Body Pro

MRI + blood tests + ECG
Information

Biological age

This health check includes an analysis of your biological age. Biological age is a measure of how your body ages at the cellular level compared to your chronological age. Comparing your blood counts with advanced algorithms will give you a deeper insight into your overall health status and how your lifestyle affects your biological aging. Based on the PhenoAge method. https://pmc.ncbi.nlm.nih.gov/articles/PMC5940111/

Medical comment included

With us, you will always receive a doctor’s opinion from a licensed physician when you order a medical check-up that includes a medical opinion. The doctor’s opinion includes an overall assessment of your results from laboratory analysis. The opinion is individual and may vary depending on the specific tests your medical check-up includes.

What can I expect in the medical report?

The medical opinion will summarize the results of your test results to give you an assessment of your health including any abnormalities outside the reference ranges. In case of abnormalities or need, your doctor may also contact you for a free conversation to explain and talk about your results. Remember that a health check always includes specific test results based on your health and your personal circumstances. Values outside the reference range should therefore always be discussed with a doctor before any decisions regarding possible treatment are made.

What does the doctor look at during a health check?

When assessing a blood test or health check, your doctor will look at several different parameters to evaluate your health and identify any abnormalities. Below are some common aspects your doctor may examine:

Blood counts: Your doctor will check red, white and platelet counts to identify any signs of anaemia, infection or bleeding.

Nutrients and biochemical markers: Includes, for example, analysis and monitoring of blood sugar (glucose) levels, electrolyte levels (e.g. sodium, potassium), liver function tests (e.g. liver enzymes), kidney function tests (e.g. creatinine, urea) and lipid profile (e.g. cholesterol, triglycerides). The results of the tests give your doctor a better idea of your organ function, blood sugar level, cholesterol conditions and other important health aspects.

Inflammatory markers: Your doctor may measure health markers such as C-reactive protein (CRP) or red blood cell decrease rate (SR) to evaluate inflammatory conditions or confirm an active infection.

Hormone levels: Your doctor may monitor your hormone levels to assess hormonal imbalances or diseases, such as thyroid hormones (TSH, T3, T4), sex hormones or other specific hormones such as testosterone levels.

Specific tests: Depending on your goal of your health check or medical history, your doctor may look into specific tests to investigate conditions or diseases, such as diabetes, vitamin deficiency or autoimmune diseases.

In conclusion, the doctor weighs all test results based on the health check to assess your overall health, detect any abnormalities and identify possible underlying medical conditions.

What happens if I have abnormal test results?

If your blood count is abnormal, this will be addressed in your personal medical opinion. Depending on the nature and extent of the abnormality, your doctor may also contact you directly through the test result service for further guidance. Various measures and advice will be provided based on the specific abnormalities observed along with your medical history.

Call included

Call included, one of our doctors will contact you.
  • Full body MRI scan.
  • 70+ blood tests incl. biological age.
  • Long-term ECG 5–7 days with ePatch.

23 900 kr


MRI Full body Plus

MRI Full body Plus

MRI + blood tests
Information

Biological age

This health check includes an analysis of your biological age. Biological age is a measure of how your body ages at the cellular level compared to your chronological age. Comparing your blood counts with advanced algorithms will give you a deeper insight into your overall health status and how your lifestyle affects your biological aging. Based on the PhenoAge method. https://pmc.ncbi.nlm.nih.gov/articles/PMC5940111/

Medical comment included

With us, you will always receive a doctor’s opinion from a licensed physician when you order a medical check-up that includes a medical opinion. The doctor’s opinion includes an overall assessment of your results from laboratory analysis. The opinion is individual and may vary depending on the specific tests your medical check-up includes.

What can I expect in the medical report?

The medical opinion will summarize the results of your test results to give you an assessment of your health including any abnormalities outside the reference ranges. In case of abnormalities or need, your doctor may also contact you for a free conversation to explain and talk about your results. Remember that a health check always includes specific test results based on your health and your personal circumstances. Values outside the reference range should therefore always be discussed with a doctor before any decisions regarding possible treatment are made.

What does the doctor look at during a health check?

When assessing a blood test or health check, your doctor will look at several different parameters to evaluate your health and identify any abnormalities. Below are some common aspects your doctor may examine:

Blood counts: Your doctor will check red, white and platelet counts to identify any signs of anaemia, infection or bleeding.

Nutrients and biochemical markers: Includes, for example, analysis and monitoring of blood sugar (glucose) levels, electrolyte levels (e.g. sodium, potassium), liver function tests (e.g. liver enzymes), kidney function tests (e.g. creatinine, urea) and lipid profile (e.g. cholesterol, triglycerides). The results of the tests give your doctor a better idea of your organ function, blood sugar level, cholesterol conditions and other important health aspects.

Inflammatory markers: Your doctor may measure health markers such as C-reactive protein (CRP) or red blood cell decrease rate (SR) to evaluate inflammatory conditions or confirm an active infection.

Hormone levels: Your doctor may monitor your hormone levels to assess hormonal imbalances or diseases, such as thyroid hormones (TSH, T3, T4), sex hormones or other specific hormones such as testosterone levels.

Specific tests: Depending on your goal of your health check or medical history, your doctor may look into specific tests to investigate conditions or diseases, such as diabetes, vitamin deficiency or autoimmune diseases.

In conclusion, the doctor weighs all test results based on the health check to assess your overall health, detect any abnormalities and identify possible underlying medical conditions.

What happens if I have abnormal test results?

If your blood count is abnormal, this will be addressed in your personal medical opinion. Depending on the nature and extent of the abnormality, your doctor may also contact you directly through the test result service for further guidance. Various measures and advice will be provided based on the specific abnormalities observed along with your medical history.

Call included

Call included, one of our doctors will contact you.
  • Radiation-free whole-body MRI examination.
  • 50+ blood tests for an extended medical overview.
  • Early detection of risks and diseases.

21 000 kr

MRI Full Body Pro

MRI Full Body Pro

MRI + blood tests + ECG
Information

Biological age

This health check includes an analysis of your biological age. Biological age is a measure of how your body ages at the cellular level compared to your chronological age. Comparing your blood counts with advanced algorithms will give you a deeper insight into your overall health status and how your lifestyle affects your biological aging. Based on the PhenoAge method. https://pmc.ncbi.nlm.nih.gov/articles/PMC5940111/

Medical comment included

With us, you will always receive a doctor’s opinion from a licensed physician when you order a medical check-up that includes a medical opinion. The doctor’s opinion includes an overall assessment of your results from laboratory analysis. The opinion is individual and may vary depending on the specific tests your medical check-up includes.

What can I expect in the medical report?

The medical opinion will summarize the results of your test results to give you an assessment of your health including any abnormalities outside the reference ranges. In case of abnormalities or need, your doctor may also contact you for a free conversation to explain and talk about your results. Remember that a health check always includes specific test results based on your health and your personal circumstances. Values outside the reference range should therefore always be discussed with a doctor before any decisions regarding possible treatment are made.

What does the doctor look at during a health check?

When assessing a blood test or health check, your doctor will look at several different parameters to evaluate your health and identify any abnormalities. Below are some common aspects your doctor may examine:

Blood counts: Your doctor will check red, white and platelet counts to identify any signs of anaemia, infection or bleeding.

Nutrients and biochemical markers: Includes, for example, analysis and monitoring of blood sugar (glucose) levels, electrolyte levels (e.g. sodium, potassium), liver function tests (e.g. liver enzymes), kidney function tests (e.g. creatinine, urea) and lipid profile (e.g. cholesterol, triglycerides). The results of the tests give your doctor a better idea of your organ function, blood sugar level, cholesterol conditions and other important health aspects.

Inflammatory markers: Your doctor may measure health markers such as C-reactive protein (CRP) or red blood cell decrease rate (SR) to evaluate inflammatory conditions or confirm an active infection.

Hormone levels: Your doctor may monitor your hormone levels to assess hormonal imbalances or diseases, such as thyroid hormones (TSH, T3, T4), sex hormones or other specific hormones such as testosterone levels.

Specific tests: Depending on your goal of your health check or medical history, your doctor may look into specific tests to investigate conditions or diseases, such as diabetes, vitamin deficiency or autoimmune diseases.

In conclusion, the doctor weighs all test results based on the health check to assess your overall health, detect any abnormalities and identify possible underlying medical conditions.

What happens if I have abnormal test results?

If your blood count is abnormal, this will be addressed in your personal medical opinion. Depending on the nature and extent of the abnormality, your doctor may also contact you directly through the test result service for further guidance. Various measures and advice will be provided based on the specific abnormalities observed along with your medical history.

Call included

Call included, one of our doctors will contact you.
  • Full body MRI scan.
  • 70+ blood tests incl. biological age.
  • Long-term ECG 5–7 days with ePatch.

23 900 kr

Articles related to Lymphocytes

Cart

The basket is empty.

Hos oss får du tillgång till Sveriges bredaste utbud av blodprov, hälsokontroller och MR – med läkare som alltid granskar dina provsvar.

Select tests


Sampling fee
Total
Sampling fee?

The sample collection fee is a fixed cost that refers to the visit to the clinic where you submit your sample. The fee is not affected by how many tests you have ordered, but varies depending on the order value:

Free sampling fee

For purchases over 1 000 SEK, the sampling fee is included.